Our Services
/ Dental Implants / Smile Makeover / Crowns / Bridges / Closing Diastema / Tooth whitening / White Fillings /
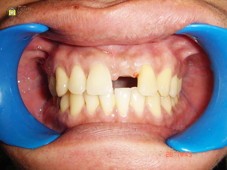
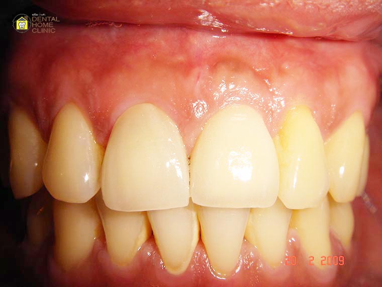
Dental Implants
A dental implant is a surgical fixture that is placed into the jawbone and allowed to fuse with the bone over the span of a few months. The dental implant acts as a replacement for the root of a missing tooth and holds a replacement tooth or bridge. Having a dental implant fused to the jawbone is the closest thing to mimicking a natural tooth because it stands on its own without affecting the nearby teeth and has great stability. Most dental implants are made of titanium, which allows them to integrate with bone without being recognized as a foreign object in our body.
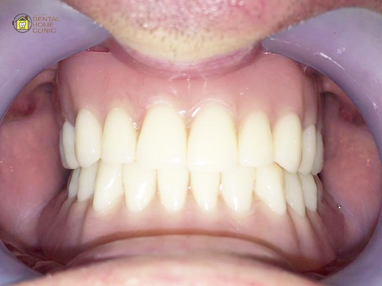
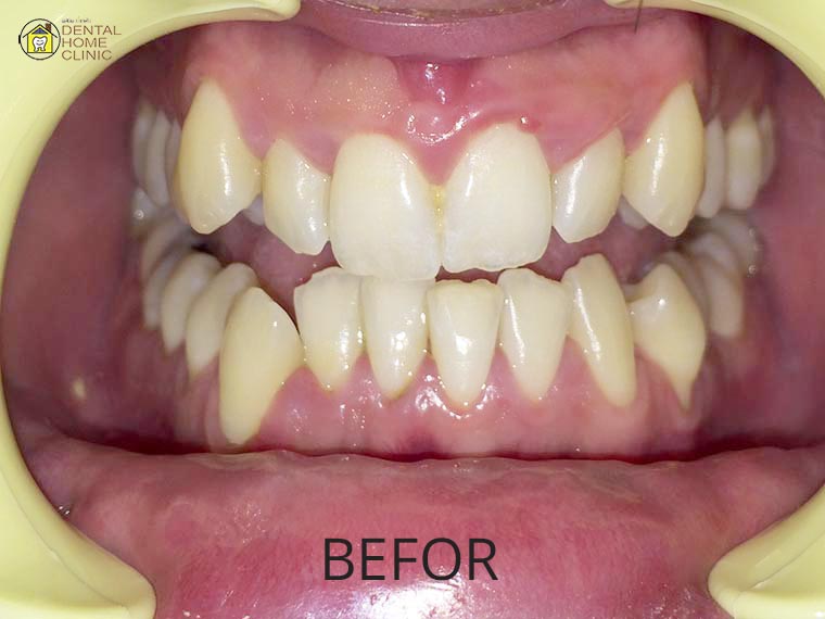
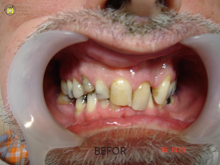
Smile Makeover
For teeth that are stained, poorly shaped, slightly crooked, or gapped, cosmetic dentistry can make the restoration. Crown, bridge or veneer with the newest significantly higher translucency - Lava Plus High Translucency Zirconia offers the esthetics of a layered restoration in all-zirconia that allows dentists and labs to create true restorative masterpieces without compromising strength
Crowns
When a tooth has a major structure problem, is missing, or is causing bite problems, it can be covered with a porcelain crown. This color-matched cap, cover, or restoration replaces the portion of the tooth exposed in the mouth.
Bridges
Sometimes teeth are lost due to disease or injury. They can be replaced with a bridge, removable or fixed dental appliance made to look like the original teeth.

Closing Diastema
Some patients are unhappy with the gap between their two front teeth. For preparation, a minimal amount of enamel was removed from the outer surface. Porcelain veneers were then bonded to the teeth. Note the improvement in esthetics.
Tooth Whitening
Is the bleaching process to lighten discoloration of enamel and dentin which may result from drinking coffee, tea, wine, soft drinks or smoking. Tooth whitening by Zoom in-office procedure uses the Zoom Advanced Power Chairside lamp to accelerate the bleaching to activate the 25% hydrogen peroxide providing whitening. As the hydrogen peroxide is broken down, Oxygen enters the enamels and dentin to bleach the stained substances, leaving the structure of the tooth unchanged.

White Fillings
Some patients don't like the look of metal fillings. Others are concerned about potential health risks from aging metal fillings. The answer is white fillings. Made of a tough resin and color-matched to your natural tooth color, white fillings can make your teeth look filling-free.





























